- ホーム >
- 歯が抜けた・入れ歯が合わない~義歯~
自分に合った入れ歯で快適に

お使いの入れ歯をつける際、違和感や痛みはありませんか? 「痛い」「合わない」と思いながら、「入れ歯はこういうものだから、仕方ない」などと我慢している人が多くいらっしゃいます。
大網駅前にある歯医者「倉島歯科医院」ではさまざまな種類の入れ歯を取りあつかっており、患者様の状態に合わせて快適で使い心地のよい入れ歯をおつくりします。
痛みや違和感だけでなく、見た目の自然さも入れ歯の重要な要素のひとつ。最近の入れ歯には、高性能なものが多数登場しています。入れ歯だとわからないほど自然な見た目の入れ歯もあるので、入れ歯についてお悩みの方は一度ご相談ください。
保険と自費の入れ歯の違い
健康保険が適用される入れ歯と、そうでない自費診療の入れ歯には、費用以外にもさまざまな面で違いがあります。その違いを比べてみましょう。
保険の入れ歯 |
自費の入れ歯 |
|
|---|---|---|
| 素材 | レジン(歯科用プラスチック)のみ | 自由に選べる |
| 構造 | 制限あり | 自由に選べる |
| 費用 | 保険が適用されるため安価 | 保険の適用がなく高額 |
| 製作期間 | 短い | 長い |
| 見た目 | 違和感がある場合がある | 自然 |
| 噛み心地 | 硬いものが噛みにくい場合がある | 硬いものでも噛める |
お手入れの方法

入れ歯は人工の歯なので、虫歯になることはありません。しかし長く快適に使用していただくためには、毎日のお手入れが必要です。毎食後洗浄することをおすすめしますが、それが難しい場合は寝る前には必ず丁寧に洗うようにしましょう。洗浄が不十分だとカンジダという真菌(カビの一種)が繁殖し、それによって他の健康被害が起こる場合があります。
流水下で入れ歯専用のブラシを使い、水で流すのが基本です。入れ歯専用の洗浄剤で汚れを落としましょう。熱湯や漂白剤につけると変色や変形を起こす可能性があるので、避けてください。
当院で取りあつかっている入れ歯
当院では次のような、健康保険適用の入れ歯および自費診療の入れ歯を取りあつかっております。
上顎部分床義歯
- レジン床義歯【保険診療】
- 金属床義歯【自費診療】
下顎部分床義歯
- レジン床義歯【保険診療】
- 金属床義歯【自費診療】
磁性アタッチメント

上顎総義歯・下顎総義歯
- レジン床義歯【保険診療】
- 金属床義歯【自費診療】
※以上このページの画像は「GCデンタルトリートメントガイド」より参照
総義歯はBPSデンチャーを採用しています
BPS(Biofunctional Prosthetic System)とは、生体機能的補綴システムのことで、Icoclear Vivadentとヨーロッパの歯科大学、臨床医がともに開発した総義歯を制作するためのシステムです。よく噛むことができる、痛みがない、外れる心配が無い、審美性に優れるといった高品質な入れ歯制作システムとして注目されています。
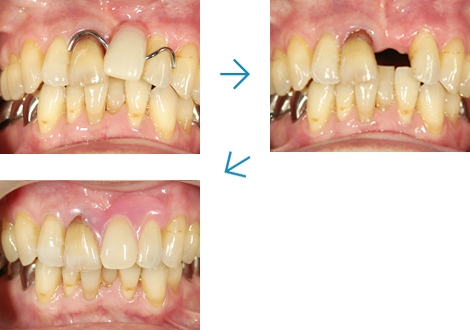
留め金のない入れ歯(義歯)の例~当医院での義歯症例~
留め金を使った従来の入れ歯から、留め金のない入れ歯へと変更したことによって、見た目も美しくなりました。





















