- ホーム >
- 顎関節症や親知らずについて~口腔外科~
手術が必要なお口のトラブルもおまかせください

「口腔外科」とは口腔内に限らず、顎や口もと周辺の疾患全般を治療する、歯科の診療科目です。歯の病気だけでなく、お口の中にできた癌なども治療対象としています。
スポーツや事故などによる外傷、顎変形症、口腔粘膜の疾患、神経性疾患、口臭症など、取りあつかう領域は実に多種多様。大網駅前にある歯医者「倉島歯科医院」の口腔外科で、お口周辺のトラブルを改善し、本来の機能を取り戻しましょう。
口腔外科にできること
口腔外科では、次のような症例を治療できます。このような症状に心あたりのある方は、一度ご相談ください。
【当院の口腔外科で治療可能な症例】
- 埋伏歯
- 顎関節症
- 顎関節脱臼
- 歯が原因となっている炎症
- 口内炎
- 良性腫瘍(悪性が疑われる場合は大学病院等へご紹介いたします)
- 顎嚢胞(がくのうほう)
- 粘液嚢胞
- 小帯(しょうたい)強直症
- 外傷
- 補綴前処置 など
当院の手術設備
当院では、室内の空気を完全に無菌状態にする、最新の空調設備をそなえた手術室で手術を行っています。
- 手術専用ルーム

- 空気清浄システム/照明

- 超音波振動で骨を削る機械
ピエゾーサージェリー
口腔外科の症例
当院では、次のような症例を取りあつかっております。
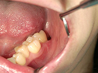
難易度の高い親知らずの抜歯の症例
親知らずが非常に深い位置に、逆さの状態で埋まっていたケースです。右下7番の歯も保存不可能な状態だったため、抜歯しました。
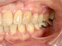
水平に埋まっている親知らずの抜歯の症例
水平に埋まった親知らずの抜歯は、頻度が高い手術です。
左下の親知らずが、水平に埋まっています。
歯ぐきを切開し、親知らずの一部を削りました。
歯ぐきを戻し、縫合しました。右は削りだした親知らずです。

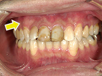
術後2週間すると、傷がきれいに回復しています。
ガマ腫(ラヌーラ)摘出
開窓療法(かいそうりょうほう)を施しました。
膿胞(のうほう)摘出
膿胞という袋状の病気ができていたため、手術によって摘出しました。

術後は歯ぐきの傷も治り、審美的にも改善しました。
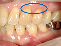
結合組織移植術
右上3番、4番の歯の根が露出していたため、上顎の裏側から結合組織を移植しました。

他の箇所とかわりなく、きれいな歯ぐきになりました。
上顎裏側の結合組織を摘出しています。術後の傷も、きれいに治りました。





































