- ホーム >
- 銀歯が気になる~審美歯科~
気になる銀歯、白くする方法があります

歯や口もとは、人の第一印象を大きく左右します。「銀歯が気になって、笑うとき口もとを隠してしまう」「歯の黄ばみが気になる」といった歯の見た目のお悩みを解消するための診療メニューが審美歯科です。
審美歯科では銀歯をセラミック製の白い歯に交換したり、ホワイトニングで歯の黄ばみを除去したりといった、口もとの美しさに着目した処置を行います。大網駅前にある歯医者「倉島歯科医院」の審美歯科治療で美しい口もとと、自信を手に入れましょう。
そのままでいいの?銀歯の持つデメリット

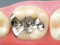
健康保険が適用されるインレー(詰めもの)やクラウン(被せもの)には、金銀パラジウム合金をもとにした金属が素材として用いられ、一般的には「銀歯」と呼ばれます。銀歯ももちろん一定の安全性が確保された素材でできていますが、次のようなデメリットも指摘されています。
【銀歯のデメリット】
デメリット1 目立つ
天然歯は白いため、銀歯の色はお口の中で不自然で目立ちます。
デメリット2 歯ぐきが黒ずむ
金属がイオン化して溶け出すと、歯ぐきに金属イオンが沈着し、黒ずみの原因となることがあります。
デメリット3 金属アレルギー
溶け出した金属イオンが体内に入り込むと、金属アレルギーを引き起こすことがあります。かぶれや肌荒れ、だるさといった体調不良を招くリスクがあります。
審美歯科で用いられる素材「セラミック」には、このようなデメリットがありません。銀歯が気になる方は、一度倉島歯科医院にご相談ください。
当院で取りあつかっている審美素材
当院では、次のような保険診療の素材を、審美素材に入れかえる治療を行っています。もちろん新たに人工歯を入れる場合にも、審美素材でおつくりすることができます。
メタルインレー
-
メタルインレー【保険診療】
-
セラミックインレー(E-MAX)【自費診療】
前歯クラウン
-
硬質レジン前装冠【保険診療】
-
セラミックインレー(E-MAX)【自費診療】
臼歯クラウン
-
メタルクラウン【保険診療】
-
セラミク・ジルコニアクラウン【自費診療】
前歯ブリッジ
-
硬質レジンブリッジ
【保険診療】
-
メタルボンド・ジルコニアブリッジ【自費診療】
臼歯ブリッジ
-
金銀パラジウム合金ブリッジ【保険診療】
-
メタルボンド・ジルコニアブリッジ【自費診療】
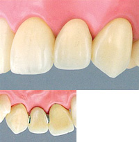
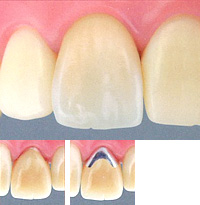
前歯部審美修復のケース
前歯部の審美障害で来院された患者様です。10本という長いブリッジが入っていましたが、審美修復治療を行い、見た目も機能性も改善。患者様にもご満足いただきました。
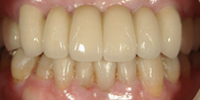
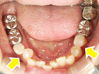
セラミック治療のケース
左右下の小臼歯の銀歯を、セラミック製のインレーに交換しました。天然歯と見分けがつかないほど、美しい歯に仕上がりました。





















